15-vjeçari ngec kabëllin USB në organin gjenital

Një adoleshenti iu nevojit ndërhyrja e mjekëve pasi një kabëll USB i ngeci në penis.

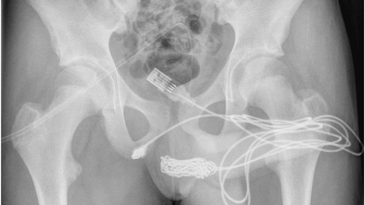
15-vjeçari britanik po përpiqej të maste brendinë e organit të tij gjenital si formë “eksperimenti social”, por u ngatërrua në një nyje dhe nuk mundi ta nxirrte.

Incidenti i çuditshëm u dokumentua në një dosje urologjie në Nëntor 2021, shkruan “The Mirror”.

Nyjet dhe ngatërresat e kabëllit i shkaktuan djalit gjakderdhje në urinë dhe nëna e tij e dërgoi menjëherë në spital. Ai priti derisa ajo doli nga dhoma për t’i rrëfyer mjekëve se kishte futur një kabëll dhe nuk kishte përdorur një vizore.

Në raportin  e mjekvëe, shkruhej se djali nuk kishte historik të çrregullimit të shëndetit mendor. Ata nuk mundën ta hiqnin kabëllin me shufër metalike për shkak të nyjeve të formuara, ndaj iu desh ta fusnin në operacion.

Mes gjenitaleve dhe anusit, ata futën një tub dhe kateterë që të nxirrnin kabëllin e bllokuar.

Djali rikuperua brenda pak ditësh, por mbetet nën vëzhgim të vazhdueshëm për dëmtim afatgjatë. Sipas raportit, futja e objekteve të huaja në uretër mund të shkaktojë dhimbje gjatë urinimit, gjak, ereksion të dhimbshëm dhe frenim të urinës.

Share With:
Translate »
213 Views